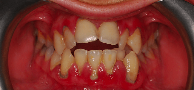
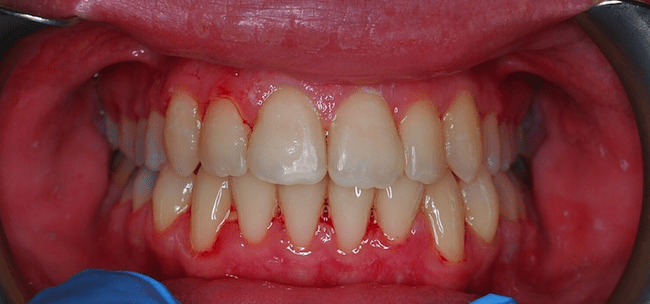
Why use FASTBRACES ®?
Why use FASTBRACES ®?FASTBRACES ® is a technology you can trust since 1992 to move teeth fast & safely.
This technology, invented and founded by orthodontist Dr. Anthony Viazis of Dallas, works in a similar process to that of natural eruption. Called “orthoeruption”, this patented method of alveolar bone restoration can be related to the way natural eruption remodels and grows alveolar bone. As a result, retainer wear is minimal and tooth extractions (or sometimes even jaw surgery) can now be avoided. In addition, spaces for implants can now be ready even in about 100 days.


